Catalog# :5199
The melanocortin-4 receptor (MC4R) is a member of the superfamily of seven transmembrane G-protein coupled receptors that are involved in multiple signal transduction pathways including the cAMP and MAPK signaling pathways. It is thought that the melanocortin system modulates energy expenditure and insulin sensitivity; activation of the MC4R results in the inhibition of c-Jun N-terminal kinase (JNK) activity and promotes insulin signaling. MC4R-null mice display maturity onset obesity characterized by hyperphagia, increased adiposity, hyperinsulinaemia and hyperleptinaemia, suggesting that like other obesity-linked genes such as FTO, PTER, and NPC1, MC4R is a potential candidate target for the treatment of obesity.
Additional Names : MC4R, Melanocortin-4 receptor

Description
Left: Western blot analysis of MC4R in rat brain tissue lysate with MC4R antibody at 1 µg/ml in (A) the absence and (B) the presence of blocking peptide.
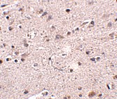
Below:Immunohistochemistry of MC4R in human brain tissue with MC4R antibody at 2.5 μg/ml.
Other Product Images
Source :MC4R antibody was raised against a 19 amino acid peptide near the amino terminus of human MC4R.
Purification : Affinity chromatography purified via peptide column
Clonality and Clone : This is a polyclonal antibody.
Host : MC4R antibody was raised in rabbit.
Please use anti-rabbit secondary antibodies
Application : MC4R antibody can be used for detection of MC4R by Western blot at 1 - 2 µg/ml.
Tested Application(s) : E, WB, IHC
Buffer : Antibody is supplied in PBS containing 0.02% sodium azide.
Blocking Peptide :Cat.No. 5199P - MC4R Peptide
Long-Term Storage : MC4R antibody can be stored at 4ºC, stable for one year. As with all antibodies care should be taken to avoid repeated freeze thaw cycles. Antibodies should not be exposed to prolonged high temperatures.
Positive Control :
1. Cat. No. 1463 - Rat Brain Tissue Lysate
Species Reactivity : H, M, R
GI Number : 119508433
Accession Number : NP_005903
Short Description : Melanocortin-4 receptor
References
1. Gantz I, Miwa H, Konda Y, et al. Molecular cloning, expression, and gene localization of a fourth melanocortin receptor. J. Biol. Chem. 1993; 268:15174-9.
2. Vongs A, Lynn NM, and Rosenblum CI. Activation of MAP kinase by MC4-R through PI3 kinase. Regul. Pept. 2004; 120:113-8.
3. Cone H. Anatomy and regulation of the central melanocortin system. Nat. Neurosci. 2005; 8:571-8.
4. Chai B, Li J-Y, Zhang W, et al. Melanocartin-4 receptor activation inhibits c-Jun N-terminal kinase activity and promotes insulin signaling. Peptides 2009; 30:1098-10
Description
Left: Western blot analysis of MC4R in rat brain tissue lysate with MC4R antibody at 1 µg/ml in (A) the absence and (B) the presence of blocking peptide.
Below:Immunohistochemistry of MC4R in human brain tissue with MC4R antibody at 2.5 μg/ml.
Other Product Images
Purification : Affinity chromatography purified via peptide column
Clonality and Clone : This is a polyclonal antibody.
Host : MC4R antibody was raised in rabbit.
Please use anti-rabbit secondary antibodies
Application : MC4R antibody can be used for detection of MC4R by Western blot at 1 - 2 µg/ml.
Tested Application(s) : E, WB, IHC
Buffer : Antibody is supplied in PBS containing 0.02% sodium azide.
Blocking Peptide :Cat.No. 5199P - MC4R Peptide
Long-Term Storage : MC4R antibody can be stored at 4ºC, stable for one year. As with all antibodies care should be taken to avoid repeated freeze thaw cycles. Antibodies should not be exposed to prolonged high temperatures.
Positive Control :
1. Cat. No. 1463 - Rat Brain Tissue Lysate
Species Reactivity : H, M, R
GI Number : 119508433
Accession Number : NP_005903
Short Description : Melanocortin-4 receptor
References
1. Gantz I, Miwa H, Konda Y, et al. Molecular cloning, expression, and gene localization of a fourth melanocortin receptor. J. Biol. Chem. 1993; 268:15174-9.
2. Vongs A, Lynn NM, and Rosenblum CI. Activation of MAP kinase by MC4-R through PI3 kinase. Regul. Pept. 2004; 120:113-8.
3. Cone H. Anatomy and regulation of the central melanocortin system. Nat. Neurosci. 2005; 8:571-8.
4. Chai B, Li J-Y, Zhang W, et al. Melanocartin-4 receptor activation inhibits c-Jun N-terminal kinase activity and promotes insulin signaling. Peptides 2009; 30:1098-10
No comments:
Post a Comment