Monday, November 1, 2010

GALNT10 Antibody

GALNT10 Antibody

Catalog# : 5281

Protein glycosylation is an important biological process that is carried out by a large family of glycosyltransferases that catalyze the synthesis of oligosaccharides and glycoconjugates. Polypeptide GalNAc transferases initiate the synthesis of mucin-type oligosaccharides by transferring GalNAc from UDP-GalNAc to the hydroxyl group of either a serine or threonine residue on the polypeptide acceptor. Polypeptide galactoaminyltransferase 10 (GALNT10) belongs to the polypeptide N-acetylgalactosaminyl-transferase (pp-GalNAc-T) protein family. Following expression in insect cells, recombinant GALNT10 showed significant GalNAcT activity toward mucin-derived peptides, and it utilized both non-glycosylated and glycosylated peptide substrates. GALNT10 mRNA is highly expressed in several distinct hypothalamic, thalamic, and amygdaloid nuclei in mouse brain. At least four isoforms of GALNT10 are known to exist.

Additional Names : GALNT10 (NT),Polypeptide galactoaminyltransferase 10, GalNAc transferase 10

Description
Left: Western blot analysis of GALNT10 in rat brain tissue lysate with GALNT10 antibody at (A) 1 and (B) 2 µg/ml.

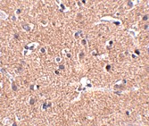
Below: Immunohistochemistry of GALNT10 in human brain tissue with GALNT10 antibody at 2.5 μg/ml.

Other Product Images



Source : GALNT10 antibody was raised against a 16 amino acid peptide near the amino terminus of human GALNT10.
Purification : Affinity chromatography purified via peptide column
Clonality and Clone : Polyclonal
Host : GALNT10 antibody was raised in rabbit. Please use anti-rabbit secondary antibodies.
Application : GALNT10 antibody can be used for detection of GALNT10 by Western blot at 1 - 2 µg/ml.
Tested Application(s) : E, WB
Buffer : Antibody is supplied in PBS containing 0.02% sodium azide.
Blocking Peptide : Cat.No. 5281P - GALNT10 Peptide
Long-Term Storage : GALNT10 antibody can be stored at 4ºC, stable for one year. As with all antibodies care should be taken to avoid repeated freeze thaw cycles. Antibodies should not be exposed to prolonged high temperatures.
Positive Control
1. Cat. No. 1463 - Rat Brain Tissue Lysate
Species Reactivity :H, M, R
GI Number : 38195091
Accession Number : NP_938080
Short Description : (NT) Polypeptide galactoaminyltransferase 10
References

1. Amado M, Almeida R, Schwientek T, et al. Identification and characterization of large galactosyltransferase gene families: galactosyltransferases for all functions. Biochim. Biophys. Acta 1999; 1473:35-53.
2. Nelson PA, Sutcliffe JG, and Thomas EA. A new UDP-GalNAc:polypeptide N-acetylgalactosaminyltransferase mRNA exhibits predominant expression in the hypothalamus, thalamus and amygdala for mouse forebrain. Gene Express. Patterns 2002; 1:95-9.

No comments: