Tuesday, July 13, 2010

DFF45 Antibody

DFF45 Antibody

Catalog# : 1148

Apoptosis is related to many diseases and induced by a family of cell death receptors and their ligands. Cell death signals are transduced by death domain containing adapter molecules and members of the caspase family of proteases. These death signals finally cause the degradation of chromosomal DNA by activated DNase. A human 45 kDa DNA fragmentation factor (DFF45) was identified recently that was cleaved by caspase-3 during apoptosis. Mouse homologue of human DFF45 was identified as a DNase inhibitor designated ICAD. DFF45/ICAD have short forms that were termed DFF35 and ICADs, respectively. Upon cleavage of DFF45/ICAD, the caspase activated deoxyribonuclease (DFF40/CAD) is released and activated and eventually causes the degradation of DNA in the nuclei. Therefore, the cleavage of DFF45/ICAD, which causes DFF40/CAD activation and DNA degradation, is the hallmark of apoptotic cell death.

Additional Names : DFF45 (NT), ICAD

Description
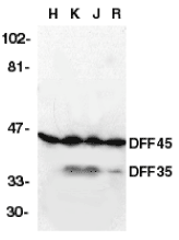
Left: Western blot analysis of DFF45 in HeLa, (H), K562 (K), Jurkat (J), and Raji (R) whole cell lysate with DFF45 antibody at 1:1000 dilution.



Source : DFF45 antibody was raised against a peptide corresponding to amino acids 2 to 21 of human DFF45.

Purification : Antibody is DEAE purified

Clonality and Clone : This is a polyclonal antibody.

Host : DFF45 antibody was raised in rabbit. Please use anti-rabbit secondary antibodies.

Immunogen : Human DFF45 (N-Terminus) Peptide (Cat. No. 1148P)

Application : DFF45 antibody can be used for detection of DFF45, DFF35, and one the cleaved fragment by Western blot at 1:1000 to 1:2000 dilution and for immunohistochemistry. 45 and 35 kDa bands can be detected in non-apoptotic cells.

Tested Application(s) : E, WB

Buffer : Antibody is supplied in PBS containing 0.02% sodium azide.

Blocking Peptide : Cat. No. 1148P - DFF45 Peptide

Long-Term Storage : DFF45 antibody can be stored at 4ºC, stable for one year. As with all antibodies care should be taken to avoid repeated freeze thaw cycles. Antibodies should not be exposed to prolonged high temperatures.

Positive Control
1.Cat. No. 1205 - Jurkat Cell Lysate

Species Reactivity :H

GI Number : 4758148

Accession Number : NP_004392

Short Description : (NT) DNA fragmentation factor & Inhibitor of CAD

References
1.Liu X, Zou H, Slaughter C, Wang X. DFF, a heterodimeric protein that functions downstream of caspase-3 to trigger DNA fragmentation during apoptosis. Cell 1997;89:175-184
2.Enari M, Sakahira H, Yokoyama H, Okawa K, Iwamatsu A, Nagata S. A caspase-activated DNase that degrades DNA during apoptosis, and its inhibitor ICAD. Nature 1998;391:43-50
3.Sakahira H, Enari M, Nagata S. Cleavage of CAD inhibitor in CAD activation and DNA degradation during apoptosis. Nature 1998;391:96-99
4.Gu J, Dong RP, Zhang C, McLaughlin DF, Wu MX, Schlossman SF. Functional interaction of DFF35 and DFF45 with caspase-activated DNA fragmentation nuclease DFF40. J Biol Chem 1999;274:20759-62

No comments: