Tuesday, July 20, 2010

EndoG Antibody

EndoG Antibody

Catalog# : 3035

The fragmentation of nuclear DNA is a hallmark of apoptotic cell death. The activities of caspase and nuclease are involved in the DNA fragmentation. Caspase-activated deoxyribonuclease (CAD), also termed DNA fragmentation factor (DFF40), is one such nuclease, and is capable of inducing DNA fragmentation and chromatin condensation after cleavage by caspase-3 of its inhibitor ICAD/DFF45. Caspase and CAD independent DNA fragmentation also exists. Recent studies demonstrated that another nuclease, endonuclease G (endoG), is specifically activated by apoptotic stimuli and is able to induce nucleosomal fragmentation of DNA independently of caspase and DFF/CAD (1,2). EndoG is a mitochondrion-specific nuclease that translocates to the nucleus and cleaves chromatin DNA during apoptosis. The homologue of mammalian EndoG is the first mitochondrial protein identified to be involved in apoptosis in C. elegans (2). EndooG also cleaves DNA in vitro (4).

Additional Names : EndoG

Description
Left: Western blot analysis of EndoG in mouse (M) 3T3 and human (H) HepG2 cell lysates with EndoG antibody at 2 µg/ml.

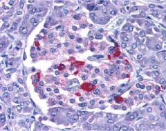
Below: Immunohistochemistry of EndoG in human pancreas with EndoG antibody at 15 µg/ml.

Other Product Images

Source : EndoG antibody was raised with a synthetic peptide corresponding to 15 amino acids near the amino terminus of human EndoG.

Purification : Affinity chromatography purified via peptide column

Clonality and Clone : This is a polyclonal antibody.

Host : EndoG antibody was raised in rabbit. Please use anti-rabbit secondary antibodies.

Immunogen : Human EndoG Peptide (Cat. No. 3035P)

Application : EndoG antibody can be used for detection of EndoG by Western blot at 1 to 2 µg/ml.HepG2 and 3T3 cell lysates can be used as positive control and a 35 kDa band can be detected. It is human, mouse and rat reactive.

Tested Application(s) : E, WB, IHC

Buffer : Antibody is supplied in PBS containing 0.02% sodium azide.

Blocking Peptide : Cat. No. 3035P - EndoG Peptide

Long-Term Storage : EndoG antibody can be stored at 4ºC, stable for one year. As with all antibodies care should be taken to avoid repeated freeze thaw cycles. Antibodies should not be exposed to prolonged high temperatures.

Positive Control
1.Cat. No. 1211 - HepG2 Cell Lysate
2.Cat. No. 1212 - 3T3 Whole Cell Lysate
3.Cat. No. 1307 - Human Pancreas Tissue Lysate

Species Reactivity :H, M, R

GI Number : 53759134

Accession Number : NP_004426

Short Description : Endonuclease G

References
1.Li LY, Luo X, Wang X. Endonuclease G is an apoptotic DNase when released from mitochondria. Nature. 2001;412(6842):95-9.
2.Parrish J, Li L, Klotz K, Ledwich D, Wang X, Xue D. Mitochondrial endonuclease G is important for apoptosis in C. elegans. Nature. 2001;412(6842):90-4
3.Hengartner MO. Apoptosis. DNA destroyers. Nature. 2001;412(6842):27, 29.
4.Widlak P, Li LY, Wang X, Garrard WT. Action of recombinant human apoptotic endonuclease G on naked DNA and chromatin substrates: cooperation with exonuclease and DNase I. J Biol Chem. 2001;276(51):48404-9.

No comments: