Catalog# :4991
ZIP10, also known as Slc39A10, is a widely expressed zinc transporter with nine transmembrane domains. Zinc is an essential ion for cells and plays significant roles in the growth, development, and differentiation. ZIP10 mRNA was found to be significantly decreased in the intestines and kidneys of hypothyroid rats and increased in those of hyperthyroid rats, indicating that ZIP10 is positively regulated by thyroid hormones. ZIP10 mRNA was also found to be upregulated in invasive and metastatic breast cancer and cell lines, suggesting that ZIP10 could serve as a possible marker for the metastatic phenotype and possibly a target for novel treatment strategies. At least three isoforms of ZIP10 are known to exist. This antibody will not cross-react with the zinc transporter ZIP11.
Additional Names : ZIP10, Solute carrier family 39 member a10, Slc39a10, LZT-Hs2
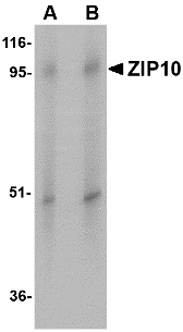
DescriptionLeft:Western blot analysis of ZIP10 in human spleen tissue lysate with ZIP10 antibody at (A) 1 and (B) 2 µg/ml.
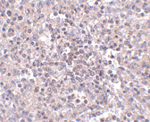
Below Immunohistochemistry of ZIP10 in human spleen tissue with ZIP10 antibody at 2.5 µg/ml.
Other Product Images

Source :ZIP10 antibody was raised against a 17 amino acid peptide near the center of the human ZIP10.
Purification : Affinity chromatography purified via peptide column
Clonality and Clone : This is a polyclonal antibody.
Host : ZIP10 antibody was raised in rabbit.
Application : ZIP10 antibody can be used for detection of ZIP10 by Western blot at 1 – 2 µg/ml.
Tested Application(s) : E, WB, IHC
Buffer : Antibody is supplied in PBS containing 0.02% sodium azide.
Blocking Peptide :Cat.No. 4991P - ZIP10 Peptide
Long-Term Storage : ZIP10 antibody can be stored at 4ºC, stable for one year. As with all antibodies care should be taken to avoid repeated freeze thaw cycles. Antibodies should not be exposed to prolonged high temperatures.
Positive Control :
1. Cat. No. 1306 - Human Spleen Tissue Lysate
Species Reactivity : H, M, R
GI Number : 149046180
Accession Number : EDL99073
Short Description : Solute carrier family 39 member a10
References
1. Kaler P and Prasad R. Molecular cloning and functional characterization of novel transporter rZip10 (Slc39a10) involved in zinc uptake across renal brush-border membrane. Am. J. Renal Physiol. 2007; 292:F217-29.
2. Taylor KM and Nicohlson RI. The LZT proteins; the LIV-1 subfamily of zinc transporters. Biochim. Biophys. Acta. 2003; 1611:16-30.
3. Pawan K, Neeraj S, Sandeep K, et al. Upregulation of Slc39a10 gene expression in response to thyroid hormones in intestine and kidney. Biochim. Biophys. Acta. 2007; 1769:117-23.
4. Kagara N, Tanaka N, Noguchi S, et al. Zinc and its transporter ZIP10 are involved in invasive behavior of breast cancer cells. Cancer Sci. 2007; 98:692-7.
No comments:
Post a Comment