Monday, October 18, 2010

Albumin Antibody

Albumin Antibody

Catalog# : 5159

Albumin is a soluble, monomeric protein which comprises about one-half of the blood serum protein. It functions primarily as a carrier protein for steroids, fatty acids, and thyroid hormones and plays a role in stabilizing extracellular fluid volume. Albumin is synthesized in the liver as preproalbumin which has an N-terminal peptide that is removed before the nascent protein is released from the rough endoplasmic reticulum. The resulting product, proalbumin, is in turn cleaved in the Golgi vesicles to produce the secreted albumin. At least two isoforms of Albumin are known to exist.
Additional Names : Albumin,Alb, serum albumin
Description
Left: Western blot analysis of Albumin in mouse liver tissue lysate with Albumin antibody at (A) 1 and (B) 2 µg/ml.

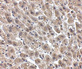
Below: Immunohistochemistry of Albumin in human liver tissue with Albumin antibody at 2.5 μg/ml.

Other Product Images

Source : Albumin antibody was raised against a 13 amino acid peptide near the center of human Albumin.
Purification : Affinity chromatography purified via peptide column
Clonality and Clone : This is a polyclonal antibody.
Host : Albumin antibody was raised in chicken. Please use anti-chicken secondary antibodies.
Application : Albumin antibody can be used for detection of Albumin by Western blot at 1 – 2 µg/ml.
Tested Application(s) : E, WB
Buffer : Antibody is supplied in PBS containing 0.02% sodium azide.
Blocking Peptide : Cat.No. 5159P - Albumin Peptide
Long-Term Storage : Albumin antibody can be stored at 4ºC, stable for one year. As with all antibodies care should be taken to avoid repeated freeze thaw cycles. Antibodies should not be exposed to prolonged high temperatures.
Positive Control
1. Cat. No. 1404 - Mouse Liver Tissue Lysate
Species Reactivity :H, M, R
GI Number : 113576
Accession Number : P02768
Short Description : Serum albumin
References
1. Rothschild MA, Oratz M, and Schreiber SS. Serum Albumin. Hepatology

1 comment:

antibodies said...

Hi Dude,

Albumin is synthesized in the liver as preproalbumin which has an N-terminal peptide that is removed before the nascent protein released from the rough endoplasmic reticulum. Thanks a lot...