Monday, October 11, 2010

DC-SIGN Antibody

DC-SIGN Antibody

Catalog# : 2347

Dendritic cells (DCs) that control immune responses were recently found to capture and transport HIV from the mucosal area to remote lymph nodes (1), where DCs hand over HIV to CD4+ T lymphocytes. DCs also amplify the amount of virus and extend the duration of viral infectivity. Multiple strains of HIV-1, HIV-2 and SIV bind to DCs via DC-SIGN (2). ICAM-3 is the natural ligand for DC-SIGN (3). A DC-SIGN homologue (termed DC-SIGNR, L-SIGN, and DC-SIGN2) was identified recently (4-8). DC-SIGN forms a novel gene family with DC-SIGNR and many alternatively spliced isoforms of DC-SIGN and DC-SIGNR (8). The expression of DC-SIGN was found in mucosal tissues including placenta, small intestine, and rectum.
Additional Names : DC-SIGN (CT), DC-SIGN
Description
Left: Western blot detection of DC-SIGN in human small intestine at (A) 1 and (B) 2 µg /ml.

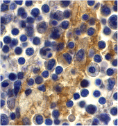
Below: Immunohistochemistry of DC-SIGN in human lymph node tissue with DC-SIGN antibody at 10 µg/ml.

Other Product Images
Source : DC-SIGN antibody was raised against a synthetic peptide corresponding to amino acids near the center of human DC-DIGN .
Purification : Affinity chromatography purified via peptide column
Clonality and Clone : This is a polyclonal antibody.
Host : DC-SIGN antibody was raised in rabbit. Please use anti-rabbit secondary antibodies.
Immunogen : Human DC-SIGN (C-Terminus) Peptide (Cat. No. 2347P)
Application : DC-SIGN antibody can be used for detection of DC-SIGN by Western blot at 1 to 2 µg/ml.A band at approximately 44 kDa can be detected.
Tested Application(s) : E, WB, IHC
Buffer : Antibody is supplied in PBS containing 0.02% sodium azide.
Blocking Peptide : Cat. No. 2347P - DC-SIGN Peptide
Long-Term Storage : DC-SIGN antibody can be stored at 4ºC, stable for one year. As with all antibodies care should be taken to avoid repeated freeze thaw cycles. Antibodies should not be exposed to prolonged high temperatures.
Positive Control
1. Cat. No. 1308 - Human Small Intesting Tissue Lysate
Species Reactivity :H
GI Number : 46396012
Accession Number : Q9NNX6
Short Description : (CT) A novel HIV biding protein
References
1. Geijtenbeek TB, Kwon DS, Torensma R, et al. DC-SIGN, a dendritic cell-specific HIV-1-binding protein that enhances trans-infection of T cells. Cell. 2000;100:587-97.
2. Pohlmann S, Baribaud F, Lee B, et al. RW. DC-SIGN interactions with human immunodeficiency virus type 1 and 2 and simian immunodeficiency virus. J Virol. 2001;75(10):4664-72.
3. Geijtenbeek TB, Torensma R, van Vliet SJ, et al. Identification of DC-SIGN, a novel dendritic cell-specific ICAM-3 receptor that supports primary immune responses. Cell. 2000;100(5):575-85.
4. Soilleux EJ, Barten R, Trowsdale J. DC-SIGN; a related gene, DC-SIGNR; and CD23 form a cluster on 19p13. J Immunol. 2000;165(6):2937-42.

No comments: