Thursday, October 14, 2010

TRIM5 alpha Antibody

TRIM5 alpha Antibody

Catalog# : 3247

TRIM5 is a member of a broad family of otherwise unrelated proteins defined by the presence of a tripartite motif containing a RING domain, a B-box type 1, and a B-box type 2, followed by a coiled-coil region . TRIM5 has six alternately spliced isoforms, the longest of which is the alpha variant which also contains a carboxy-terminal B30.2 (SPRY) domain. Expression of TRIM5alpha variants from humans, rhesus monkeys, and African green monkeys enabled resistance to infection by various retroviruses including HIV-1, albeit at differing efficiencies. All TRIM5alpha variants could inhibit at least two different retroviruses, but not from those viruses isolated from the same species, suggesting that TRIM5alpha acts as a natural barrier to cross-species retrovirus transmission.

Additional Names : TRIM5 alpha (IN1), TRIM5a
Description
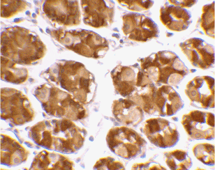
Left: Western blot analysis of TRIM5 alpha expression in human stomach (A), thymus (B), and uterus (C) cell lysate with TRIM5 alpha antibody at 2 µg /ml. Below: Immunohistochemical staining of human stomach using TRIM5 alpha antibody at 2 µg/ml.

Below: Immunohistochemical staining of human stomach using TRIM5 alpha antibody at 2 μg/ml.

Other Product Images
Source : TRIM5 alpha antibody was raised against a synthetic peptide corresponding to amino acids near the mid-region of human TRIM5 alpha.
Purification : Affinity chromatography purified via peptide column
Clonality and Clone : This is a polyclonal antibody.
Host : TRIM5 alpha antibody was raised in rabbit. Please use anti-rabbit secondary antibodies.
Immunogen : Human TRIM5 alpha (Intermediate Domain 1) Peptide (Cat. No. 3247P)
Application : TRIM5 alpha antibody can be used for detection of TRIM5 alpha by Western blot at 1 to 2 µg/ml.A band at approximately 55 kDa can be detected.
Tested Application(s) : E, WB, IHC
Buffer : Antibody is supplied in PBS containing 0.02% sodium azide.
Blocking Peptide : Cat. No. 3247P - TRIM5 alpha (IN1) Peptide
Long-Term Storage : TRIM5 alpha antibody can be stored at 4ºC, stable for one year. As with all antibodies care should be taken to avoid repeated freeze thaw cycles. Antibodies should not be exposed to prolonged high temperatures.
Positive Control
1. Cat. No. 1319 - Human Stomach Tissue Lysate
2. Cat. No. 1317 - Human Uterus Tissue Lysate
3. Cat. No. 1314 - Human Thymus Tissue Lysate
Species Reactivity :H
GI Number : 14719418
Accession Number : NP_149023
Short Description : (IN1) Retroviral restriction factor
References
1. Reymond A, Meroni G, Fantozzi A, et al. The tripartite motif family identifies cell compartments. EMBO J. 2001; 20:2140-51.
2. Stremlau M, Owens CM, Perron MJ, et al. The cytoplasmic body component TRIM5alpha restricts HIV-1 infection in Old World monkeys. Nature 2004; 427:848-53.
3. Hatziioannou T, Perez-Caballero D, Yang A, et al. Retrovirus resistance factors REF1 and Lv1 are species-specific variants of TRIM5alpha. Proc. Nat’l. Acad. Sci. USA 2004; 101:10774-9

No comments: