Wednesday, October 13, 2010

DC-SIGN Monoclonal Antibody

DC-SIGN Monoclonal Antibody

Catalog# : PM-2348

Dendritic cells (DCs) that control immune responses were recently found to capture and transport HIV from the mucosal area to remote lymph nodes (1), where DCs hand over HIV to CD4+ T lymphocytes. DCs also amplify the amount of virus and extend the duration of viral infectivity. Multiple strains of HIV-1, HIV-2 and SIV bind to DCs via DC-SIGN (2). ICAM-3 is the natural ligand for DC-SIGN (3). A DC-SIGN homologue (termed DC-SIGNR, L-SIGN, and DC-SIGN2) was identified recently (4-8). DC-SIGN forms a novel gene family with DC-SIGNR and many alternatively spliced isoforms of DC-SIGN and DC-SIGNR are known to exisit (8). The expression of DC-SIGN was found in mucosal tissues including placenta, small intestine, and rectum.
Additional Names : DC-SIGN (8B6), Dendritic cell-specific ICAM-3-grabbing nonintegrin 1
Description
Left: Western blot detection of DC-SIGN fusion protein in human uterus tissue lysate at (A) 1 and (B) 2 µg/ml.

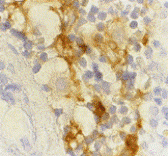
Below: Immunohistochemistry of DC-SIGN in lymph node tissue with DC-SIGN antibody at 10 µg/ml.

Other Product Images

Source : Mouse monoclonal DC-SIGN antibody was raised against a recombinant His-tagged protein fragment corresponding to the extracellular region of human DC-SIGN (1).
Purification : Immunoaffinity chromotography purified IgG
Clonality and Clone : This is a monoclonal antibody. (Clone 8B6)
Host : DC-SIGN monoclonal antibody was raised in mouse. Please use anti-mouse secondary antibodies.
Immunogen : A peptide corresponding to amino acids near the carboxy terminus of human DC-SIGN.
Application : DC-SIGN antibody can be used for detection of DC-SIGN in immunoblots at 1 – 2 mg/ml and in immunohistochemistry at 5 – 10 mg/ml.
Tested Application(s) : E, WB, IHC
Buffer : Antibody is supplied in PBS containing 0.02% sodium azide.
Blocking Peptide :
Long-Term Storage : DC-SIGN monoclonal antibody can be stored at 4ºC, stable for one year.
Positive Control
1. Cat. No. 1384 - Human Uterus Tissue Lysate
2. Cat. No. 1369 - Human Lymph Node Tissue Lysate
Species Reactivity :H
Short Description : HIV binding receptor
References
1. Geijtenbeek TB, Kwon DS, Torensma R, et al. DC-SIGN, a dendritic cell-specific HIV-1-binding protein that enhances trans-infection of T cells. Cell 2000; 100:587-97.
2. Pohlmann S, Baribaud F, Lee B, et al. DC-SIGN interactions with human immunodeficiency virus type 1 and 2 and simian immunodeficiency virus. J. Virol. 2001;75:4664-72.
3. Geijtenbeek TB, Torensma R, van Vliet SJ, et al. Identification of DC-SIGN, a novel dendritic cell-specific ICAM-3 receptor that supports primary immune responses. Cell 2000; 100:575-85.
4. Soilleux EJ, Barten R, Trowsdale J. DC-SIGN; a related gene, DC-SIGNR; and CD23 form a cluster on 19p13. J. Immunol. 2000; 165:2937-42. extensive repertoire of membrane-bound and soluble DC-SIGN1 and DC-SIGN2 isoforms: Inter-individual variation in expression of DC-SIGN transcripts. J Biol Chem. 2001; 276:33196-212.

No comments: