Thursday, October 7, 2010

Neurturin Antibody

Neurturin Antibody

Catalog# : 1121

Glial cell line-derived neurotrophic factor (GDNF) plays key roles in the control of vertebrate neuron survival and differentiation. A novel neurotrophic factor was recently cloned from human and mouse and designated neurturin. Physiological responses to neurturin (NTN) require the presence of receptor tyrosine kinase RET and a novel glycosylphosphatidylinositol linked receptor NTNRalpha. The cDNAs encoding NTNRalpha from human, rat, chicken, and mouse have been cloned recently (3-8) and termed GDNFRb, Ret ligand 2 (RETL2) or TGF-Β-related neurotrophic factor receptor 2 (TrnR2) and nominated as GFRalpha-2 recently. NTN binds to and forms a complex with GFRalpha-2 and the Ret PTK and activates the RET receptor tyrosine kinase pathway. Both NTN and GDNF can activate the MAP kinase and phosphatidylinositol 3-kinase pathways and play a critical role in the development of many neuronal populations. Neurturin and GDNF define a new family of neurotrophic factors.

Additional Names : Neurturin
Description
Left: Western blot analysis of NTN in HeLa cell lyaste containing 10 or 2.5 ng of full length recombinant NTN with neurturin antibody at 1:500.

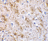
Below: Immunohistochemistry of neurturin in human brain tissue with neurturin antibody at 5 µg/ml.

Other Product Images


Source : neurturin antibody was raised against a peptide corresponding to amino acids 178 to 193 of human neurturin .
Purification : Affinity chromatography purified via peptide column
Clonality and Clone : This is a polyclonal antibody.
Host : Neurturin antibody was raised in rabbit. Please use anti-rabbit secondary antibodies.
Immunogen : Human NTN (N-Terminus) Peptide (Cat. No. 1121P)
Application : Neurturin antibody can be used for detection of neurturin by Western blot. An approximate 14 kDa band of the full length recombinant NTN was detected.
Tested Application(s) : E, WB, IHC
Buffer : Antibody is supplied in PBS containing 0.02% sodium azide.
Blocking Peptide : Cat. No. 1121P - Neurturin Peptide
Long-Term Storage : Neurturin antibody can be stored at 4ºC, stable for one year. As with all antibodies care should be taken to avoid repeated freeze thaw cycles. Antibodies should not be exposed to prolonged high temperatures.
Positive Control
1. Cat. No. 1205 - Jurkat Cell Lysate
2. Cat. No. 1303 - Human Brain Tissue Lysate
Species Reactivity :H
GI Number : 4758826
Accession Number : NP_004549
Short Description : Ligand for GFRalpha-2
References
1. Kotzbauer PT, Lampe PA, Heuckeroth RO, et al. Neurturin, a relative glial-cell-line-derived neurotrophic factor. Nature 1996;384:467-470
2. Heuckeroth RO, Kotzbauer P, Copeland NG, et al. Neurturin, a novel neurotrophic factor, is localized to mouse chromosome 17 and human chromosome 19p13.3. Genomics 1997;44(1):137-40
3. Klein RD, Sherman D, Ho WH, et al. GPI-linked protein that interacts with Ret to form a candidate neurturin receptor. Nature 1997;387:717-721
4. Buj-Bello A, Adu J, Pinon LG, et al. Neurturin responsiveness requires a GPI-linked receptor and the Ret receptor tyrosine kinase. Nature 1997;387:721-724

No comments: