Wednesday, August 4, 2010

Fn14 Antibody

Fn14 Antibody

Catalog# : 3951

TWEAK is a TNF family member produced by IFN-gamma-stimulated monocytes and induces multiple cell death pathways including caspase-dependent apoptosis and cathepsin B-dependent necrosis. These pathways are mediated by the binding of TWEAK by fibroblast growth factor 14 (Fn14), a member of the TNF receptor superfamily. Yeast two-hybrid experiments have shown that FN14 will bind to the TNFR-associated factors TRAF1, TRAF2, TRAF3, and TRAF5, suggesting that the signaling pathway induced by TWEAK may be mediated by one or more of these adaptor molecules. Fn14 is induced during liver regeneration and is highly expressed in hepatocellular carcinomas. In addition, TWEAK induces liver progenitor cell proliferation, suggesting Fn14 may play a role in hepatocyte growth control and liver neoplasia.

Additional Names : Fn14, Fibroblast growth factor-inducible 14, TNFRSF12, TWEAK-R

Description
Left: Western blot analysis of Fn14 in (A) mock- and (B) Fn14-GPI-transfected 293 cells with Fn14 antibody at 1 µg/ml.

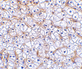
Below: Immunohistochemistry of Fn14 in human liver tissue with Fn14 antibody at 2.5 µg/ml.

Other Product Images
Source : Fn14 antibody was raised against a human IgG1 Fc-tagged Fn14 protein.

Purification : Affinity chromatography purified via peptide column

Clonality and Clone : This is a polyclonal antibody.

Host : Fn14 antibody was raised in rabbit. Please use anti-rabbit secondary antibodies.

Application : Fn14 antibody can be used for the detection of Fn14 by Western blot at 1 µg/ml.

Tested Application(s) : E, WB, IHC

Buffer : Antibody is supplied in PBS containing 0.02% sodium azide.

Blocking Peptide : Cat.No. 3951P - Fn14 Peptide

Long-Term Storage : Fn14 antibody can be stored at 4ºC, stable for one year. As with all antibodies care should be taken to avoid repeated freeze thaw cycles. Antibodies should not be exposed to prolonged high temperatures.

Positive Control
1. Cat. No. 1210 - 293 Cell Lysate
2. Cat. No. 1304 - Human Liver Tissue Lysate

Species Reactivity :H

GI Number : 7706186

Accession Number : NP_057723

Short Description : TWEAK, FGF inducible 14, TRAF

References
1. Chicheportiche Y, Bourdon PR, Xu H, et al. TWEAK, a new secreted ligand in the tumor necrosis factor family that weakly induces apoptosis. J. Biol. Chem. 1997; 272:32401-10.
2. Nakayama M, Ishidoh K, Kojima Y, et al. Fibroblast growth factor-inducible 14 mediates multiple pathways of TWEAK-induced cell death. J. Immunol. 2003; 170:341-8.
3. Brown SA, Richards CM, Hanscom HN, et al. The Fn14 cytoplasmic tail binds tumour-necrosis-factor-receptor-associated factors 1, 2, 3, and 5 and mediates nuclear factor-kappaB activation. Biochem. J. 2003; 371:395-403.
4. Feng SL, Guo Y, Factor VM, et al. The Fn14 immediate-early response gene is induced during liver regeneration and highly expressed in both human and murine hepatocellular carcinomas. Am. J. Pathol. 2000; 156:1253-61

No comments: