Monday, August 16, 2010

mSurvivin Antibody

mSurvivin Antibody

Catalog# : 2237

Apoptosis, or programmed cell death, is related to many diseases, such as cancer. Apoptosis is triggered by a variety of stimuli including members in the TNF family and prevented by the inhibitor of apoptosis (IAP) proteins. IAP proteins form a conserved gene family that binds to and inhibits cell death proteases. A novel IAP protein was recently identified and designated survivin, apoptosis inhibitor 4 (API4), and TIAP (1-3). Survivin/TIAP interacted with the processed form of caspase-3 and inhibited its proteolytic activity. Survivin/TIAP is predominantly expressed in tissues of embryos, transformed cell lines, and many human cancers and lymphomas (1,3).

Additional Names : mSurvivin (CT), TIAP
Description
Left: Western blot analysis of survivin in mouse spleen tissue lysate with survivin antibody at 1 µg/ml.

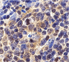
Below: Immunohistochemistry of Survivin in mouse spleen cells with Survivin antibody at 10 #956;g/ml.

Other Product Images



Source : Survivin antibody was raised against a synthetic peptide corresponding to amino acids near the carboxy terminus of mouse Survivin.

Purification : Affinity chromatography purified via peptide column

Clonality and Clone : This is a polyclonal antibody.

Host : mSurvivin antibody was raised in rabbit. Please use anti-rabbit secondary antibodies.

Immunogen : Human Survivin Peptide (Cat. No. 2237P)

Application : mSurvivin antibody can be used for detection of survivin by Western blot at 1 to 2 µg/ml.An approximate 17 kDa band can be detected.

Tested Application(s) : E, WB, IHC

Buffer : Antibody is supplied in PBS containing 0.02% sodium azide.

Blocking Peptide : Cat. No. 2237P - mSurvivin Peptide

Long-Term Storage : mSurvivin antibody can be stored at 4ºC, stable for one year. As with all antibodies care should be taken to avoid repeated freeze thaw cycles. Antibodies should not be exposed to prolonged high temperatures.

Positive Control
1. Cat. No. 1406 - Mouse Spleen Tissue Lysate

Species Reactivity :M

GI Number : 3135207

Accession Number : BAA28266

Short Description : (CT) A new inhibitor of apoptosis

References
1. Ambrosini G, Adida C, Altieri DC. A novel anti-apoptosis gene, survivin, expressed in cancer and lymphoma. Nat Med 1997;3:917-21
2. Li F, Ambrosini G, Chu EY, Plescia J, Tognin S, Marchisio PC, Altieri DC . Control of apoptosis and mitotic spindle checkpoint by survivin. Nature 1998;396:580-4
3. Kobayashi K, Hatano M, Otaki M, Ogasawara T, Tokuhisa T. Expression of a murine homologue of the inhibitor of apoptosis protein is related to cell proliferation. Proc Natl Acad Sci USA 1999;96:1457-62 (WD1000)

No comments: