Sunday, August 8, 2010

ICAD Antibody

ICAD Antibody

Catalog# : 2001

Apoptosis is related to many diseases and induced by a family of cell death receptors and their ligands. Cell death signals are transduced by death domain containing adapter molecules and members of the caspase family of proteases. These death signals finally cause the degradation of chromosomal DNA by activated DNase. A human DNA fragmentation factor (DFF) was identified recently which is cleaved by caspase-3 during apoptosis. Mouse homologue of human DFF was identified as a DNase inhibitor designated ICAD, for inhibitor of caspase-activated DNase. Upon cleavage of DFF/ICAD, a caspase activated deoxyribonuclease (CAD) is released and activated and eventually causes the degradation of DNA in the nuclei. Therefore, the cleavage of CAD inhibitor molecule DFF/ICAD, which causes DNase activation and DNA degradation, is the hallmark of apoptotic cell death.

Additional Names : ICAD (NT), DFF45
Description
Left: Western blot analysis of ICAD in mouse lung tissue lysate with ICAD antibody at 1 µg/ml.

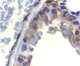
Below: Immunohistochemistry of ICAD in mouse lung tissue with ICAD antibody at 2 µg/ml.

Other Product Images


Source : ICAD antibody was raised against a peptide corresponding to amino acids near the amino terminus of mouse ICAD .

Purification : Affinity chromatography purified via peptide column

Clonality and Clone : This is a polyclonal antibody.

Host : ICAD antibody was raised in rabbit. Please use anti-rabbit secondary antibodies.

Immunogen : Mouse ICAD (N-Terminus) Peptide (Cat. No. 2001P)

Application : ICAD antibody can be used for detection of of ICAD by Western blot at 0.5 – 1 µg/ml.A 45 kDa band can be detected.

Tested Application(s) : E, WB, IHC

Buffer : Antibody is supplied in PBS containing 0.02% sodium azide.

Blocking Peptide : Cat. No. 2001P - ICAD Peptide

Long-Term Storage : ICAD antibody can be stored at 4ºC, stable for one year. As with all antibodies care should be taken to avoid repeated freeze thaw cycles. Antibodies should not be exposed to prolonged high temperatures.

Positive Control
1. Cat. No. 1402 - Mouse Lung Tissue Lysate

Species Reactivity :M

GI Number : 9087146

Accession Number : O54786

Short Description : (NT) Inhibitor of CAD

References
1. Liu X, Zou H, Slaughter C, Wang X. DFF, a heterodimeric protein that functions downstream of caspase-3 to trigger DNA fragmentation during apoptosis. Cell 1997;89:175-184
2. Enari M, Sakahira H, Yokoyama H, Okawa K, Iwamatsu A, Nagata S. A caspase-activated DNase that degrades DNA during apoptosis, and its inhibitor ICAD. Nature 1998;391:43-50
3. Sakahira H, Enari M, Nagata S. Cleavage of CAD inhibitor in CAD activation and DNA degradation during apoptosis. Nature 1998;391:96-99
4. Wyllie A. Apoptosis. An endonuclease at last. Nature 1998;39120-21(RD1299)

No comments: