Sunday, August 22, 2010

p53R2 Antibody

p53R2 Antibody

Catalog# : 2383

The p53 tumor-suppresspr gene integrates numerous signals that control cell life and death. Several novel molecules involved in p53 signaling, including p53R2 , Chk2 (2), p53AIP1 (3), Noxa (4), PIDD (5), and PID/MTA2 (6), were recently discovered. p53R2 is a p53 inducible gene that contains a p53 binding sequence and encodes a subunit of the enzyme ribonucleotide reductase (1,7). p53R2 is induced by the reagents, ultraviolet and g-irradiation that cause DNA damages. The product of p53R2 gene is directly involved in the p53 checkpoint for repair of damaged DNA. The isoform of the p53 family member p73 also induces p53R2 expression (8). p53R2 is an important target of p53 for tumour suppression.

Additional Names : p53R2 (NT), p53R2

Description
Left: Western blot analysis of p53R2 expression in A431 cell lysate at (A) 0.5 and (B) 1 µg /ml.

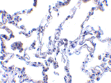
Below: Immunohistochemistry of p53R2 in human lung tissue with p53R2 antibody at 1 µg/ml.

Other Product Images
Source : p53R2 antibody was raised against a synthetic peptide corresponding to amino acids 2 to 17 of human p53R2 .

Purification : Affinity chromatography purified via peptide column

Clonality and Clone : This is a polyclonal antibody.

Host : p53R2 antibody was raised in rabbit. Please use anti-rabbit secondary antibodies.

Immunogen : Human p53R2 (N-Terminus) Peptide (Cat. No. 2383P)

Application : p53R2 antibody can be used for detection of p53R2 by Western blot at 0.5 to 1 µg/ml.A 39 kDa band can be detected.

Tested Application(s) : E, WB, IHC

Buffer : Antibody is supplied in PBS containing 0.02% sodium azide.

Blocking Peptide : Cat. No. 2383P - p53R2 Peptide

Long-Term Storage : p53R2 antibody can be stored at 4ºC, stable for one year. As with all antibodies care should be taken to avoid repeated freeze thaw cycles. Antibodies should not be exposed to prolonged high temperatures.

Positive Control
1. Cat. No. 1202 - A431 Cell Lysate
2. Cat. No. 1212 - 3T3 Whole Cell Lysate
3. Cat. No. 1302 - Human Lung Tissue Lysate

Species Reactivity :H, M, R

GI Number : 7229086

Accession Number : BAA92434

Short Description : (NT) A novel ribonucleotide reductase

References
1. Tanaka H, Arakawa H, Yamaguchi T, Shiraishi K, Fukuda S, Matsui K, Takei Y, Nakamura Y. A ribonucleotide reductase gene involved in a p53-dependent cell-cycle checkpoint for DNA damage. Nature. 2000;404:42-9.
2. Matsuoka S, Huang M, Elledge SJ. Linkage of ATM to cell cycle regulation by the Chk2 protein kinase. Science. 1998;282:1893-7.
3. Oda E, Ohki R, Murasawa H, Nemoto J, Shibue T, Yamashita T, Tokino T, Taniguchi T, Tanaka N. Noxa, a BH3-only member of the Bcl-2 family and candidate mediator of p53-induced apoptosis. Science. 2000;288(5468):1053-8.
4. Oda K, Arakawa H, Tanaka T, Matsuda K, Tanikawa C, Mori T, Nishimori H, Tamai K, Tokino T, Nakamura Y, Taya Y. p53AIP1, a potential mediator of p53-dependent apoptosis, and its regulation by Ser-46-phosphorylated p53. Cell. 2000 Sep 15;102(6):849-62.

No comments: