Wednesday, August 18, 2010

OMI Antibody

OMI Antibody

Catalog# : 3319

Inhibitor of apoptosis proteins (IAPs) were initially identified in baculoviruses as proteins that inhibit apoptosis of the host cells to allow time for viral replication (1). Cellular homologues containing at least one baculoviral IAP repeat (BIR) motif essential for their anti-apoptosis activity have been identified in yeasts and higher organisms and often act by binding and inhibiting processed caspases (reviewed in 2). The activity of these proteins can be modulated by the expression of proteins such as Smac/DIABLO and XAF-1 which displace or prevent the binding of caspases by IAPs (reviewed in 3). Recently, a mitochondrial serine protease termed Omi/HtrA2 has been found to bind IAPs (4). Similar to Smac, Omi possesses a conserved IAP-binding motif, but acts to cleave IAPs to irreversibly inactivate IAPs and promote apoptosis (5).

Additional Names : OMI, Htr2A
Description
Left: Western blot analysis of OMI in human colon cell lysates with OMI antibody at (A) 0.5 and (B) 1 µg/ml.

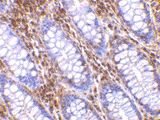
Below: Immunohistochemistry of OMI in human colon tissue with OMI antibody at 10 µg/ml.

Other Product Images
Source : OMI antibody was raised against a peptide corresponding to 15 amino acids near the C-terminus of human OMI.

Purification : Ion exchange chromatography purified

Clonality and Clone : This is a polyclonal antibody.

Host : OMI antibody was raised in rabbit. Please use anti-rabbit secondary antibodies.

Immunogen : Human OMI Peptide (Cat. No. 3319P)

Application : OMI antibody can be used for detection of OMI by Western blot at 0.5 to 1 µg/ml.

Tested Application(s) : E, WB, IHC

Buffer : Antibody is supplied in PBS containing 0.02% sodium azide.

Blocking Peptide : Cat. No. 3319P - OMI Peptide

Long-Term Storage : OMI antibody can be stored at 4ºC, stable for one year. As with all antibodies care should be taken to avoid repeated freeze thaw cycles. Antibodies should not be exposed to prolonged high temperatures.

Positive Control
1. Cat. No. 1320 - Human Colon Tissue Lysate

Species Reactivity :H

GI Number : 5870865

Accession Number : AAB94569

Short Description : IAP inhibitor

References

1. Crook NE, Clem RJ, and Miller LK. An apoptosis inhibiting baculovirus gene with a zinc finger like motif. J. Virol. 1993; 67:2168-2174.
2. Liston P, Fong WG, and Korneluk RG. The inhibitors of apoptosis: there is more to life than Bcl2. Oncogene 2003; 22:8568-80.
3. Vaux DL and Silke J. Mammalian mitochondrial IAP binding proteins. Biochem. Biophys. Res. Comm. 2003; 304:499-504.
4. Suzuki Y, Imai Y, Nakayama H, et al. A serine protease, HtrA2, is released from the mitochondria and interacts with XIAP, inducing cell death. Mol. Cell 2001; 8:613-21.

No comments: