Sunday, August 8, 2010

IEX-1 Antibody

IEX-1 Antibody

Catalog# : 4247

IEX-1 is a stress inducible gene that is induced by ionizing radiation, ultraviolet radiation, and a variety of growth factors, i.e., FAS and TNF-a. IEX-1 is widely expressed in epithelial and endocrine tissues, as well as in vascular endothelium. It plays an important role in the regulation of cellular growth, cell death and oncogenesis. IEX-1 is precisely regulated by multiple transcription factors such as p53, NF-kappaB/rel, Sp1 and c-Myc, to ensure rapid and transient expression of IEX-1 in cells under a variety of stress conditions. IEX-1 is expressed as both a longer form (IEX1L) and a splice variant, designated IEX1S. It is localized to the nucleus and perinuclear region. Overexpression of IEX-1 facilitates apoptosis and cell cycle progression, whereas disruption of IEX-1 expression is associated with decreases in both apoptosis and cell cycle progression.

Additional Names : IEX-1, Immediate early response 3, IER3, DIF2, PRG1, GLY96
Description
Left: Western blot analysis of IEX1 in human brain tissue lysate with IEX1 antibody at (A) 2 and (B) 4 µg/ml.

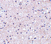
Below: Immunohistochemistry of IEX-1 in human liver tissue with IEX-1 antibody at 2.5 µg/ml.

Other Product Images


Source : IEX1 antibody was raised against a 24 amino acid peptide near the center of human IEX1.

Purification : Affinity chromatography purified via peptide column

Clonality and Clone : This is a polyclonal antibody.

Host : IEX-1 antibody was raised in rabbit. Please use anti-rabbit secondary antibodies.

Application : IEX1 antibody can be used for detection of IEX1 by Western blot at 2 – 4 µg/ml.

Tested Application(s) : E, WB, IHC

Buffer : Antibody is supplied in PBS containing 0.02% sodium azide.

Blocking Peptide : Cat.No. 4247P - IEX-1 Peptide

Long-Term Storage : IEX-1 antibody can be stored at 4ºC, stable for one year. As with all antibodies care should be taken to avoid repeated freeze thaw cycles. Antibodies should not be exposed to prolonged high temperatures.

Positive Control
1. Cat. No. 1303 - Human Brain Tissue Lysate
2. Cat. No. 1304 - Human Liver Tissue Lysate

Species Reactivity :H, M

GI Number : 3123229

Accession Number : P46695

Short Description : a stress inducible gene that is induced by ionizing radiation

References
1. Kondratyev AD, Chung K-N and Jung MO. Identification and characterization of a radiation-inducible glycosylated human early-response gene. Cancer Res. 1996; 56:1498-502.
2. Feldmann KA, Piddelkow MR, Roche PC, et al. Expression of an immediate early gene, IEX-1, in human tissues. Histochem. Cell Biol. 2001; 115:489–97.
3. Wu MX, Zhaohui A, Prasad KVS, et al. IEX-1L, an apoptosis inhibitor involved in NFkappaB mediated cell survival. Science 1998; 281:998-1001.
4. Arlt A, Grobe O, Sieke A, et al. Expression of the NF-kappa B target gene IEX-1 (p22/PRG1) does not prevent cell death but instead triggers apoptosis in Hela cells. Oncogene 2001; 20:69–76.

No comments: