Thursday, August 12, 2010

LFG Antibody

LFG Antibody

Catalog# : 2285

Programmed cell death regulates a number of biological processes such as normal organism development, tissue homeostasis, and removal of damaged cells. Disruption of this process has been implicated in a variety of diseases such as cancer. LFG is a recently identified protein that can inhibit the apoptotic signal transduced by the Fas receptor but not from the related tumor necrosis factor- death signal. In this respect, LFG is functionally similar to the anti-apoptotic proteins FAIM, FLIP and Bcl-xL. LFG, a seven membrane spanning protein, can bind the Fas receptor but does not regulate Fas expression or inhibit binding of FADD to Fas. LFG is widely distributed, but highly expressed in the hippocampus and other neural tissues. LFG was also identified as the neural membrane protein 35 (NMP35) and its expression is known to be regulated by the Phosphatidylinositol 3-kinase-Akt/PKB pathway.

Additional Names : LFG, Lifeguard, Fas apoptotic inhibitory molecule2, FAIM2, NMP35

Description
Left: Western blot analysis of LFG in EL4 cell lysate with LFG antibody at (A) 0.5 and (B) 1 µg/ml.

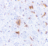
Below: Immunohistochemistry of LFG in mouse brain tissue with LFG antibody at 5 µg/ml.

Other Product Images

Source : LFG antibody was raised against a 16 amino acid peptide from near the amino terminus of human LFG .

Purification : Affinity chromatography purified via peptide column

Clonality and Clone : This is a polyclonal antibody.

Host : LFG antibody was raised in rabbit. Please use anti-rabbit secondary antibodies.

Application : LFG antibody can be used for detection of LFG by Western blot at 0.5 – 1 µg/ml.

Tested Application(s) : E, WB, IHC

Buffer : Antibody is supplied in PBS containing 0.02% sodium azide.

Blocking Peptide : Cat.No. 2285P - LFG Peptide

Long-Term Storage : LFG antibody can be stored at 4ºC, stable for one year. As with all antibodies care should be taken to avoid repeated freeze thaw cycles. Antibodies should not be exposed to prolonged high temperatures.

Positive Control
1. Cat. No. 1287 - EL4 Cell Lysate
2. Cat. No. 1402 - Mouse Lung Tissue Lysate

Species Reactivity :H, M, R

GI Number : 6273281

Accession Number : AAF06327

Short Description : an apoptosis inhibitor

References
1. Lockshin RA, Osborne B, and Zakeri Z. Cell death in the third millennium. Cell Death Differ. 2000; 7:2-7.
2. Somia NV, Schmitt MJ, Vetter DE, et al. LFG: an anti-apoptotic gene that provides protection from Fas-mediated cell death. Proc. Natl. Acad. Sci. USA 1999; 96:12667-72.
3. Schneider TJ, Fischer GM, Donohoe TJ, et al. A novel gene coding for a Fas apoptosis inhibitory molecule (FAIM) isolated from inducibly Fas-resistant B lymphocytes. J. Exp. Med. 1999; 189:949-55.
4. Schweitzer B, Taylor V, Welcher AA, et al. Neural membrane protein 35 (NMP35): a novel member of a gene family which is highly expressed in the adult nervous system. Mol. Cell. Neurosci. 1998; 11:260-73.

No comments: