Tuesday, August 24, 2010

PHAP Antibody

PHAP Antibody

Catalog# : 3152

Apoptosis is related to many diseases and development. Caspase-9 plays a central role in cell death induced by a variety of apoptosis activators. Cytochrome c, after released from mitochondria, binds to Apaf-1, which forms an apoptosome that in turn binds to and activate procaspase-9. Activated caspase-9 cleaves and activates the effector caspases (caspase-3, -6 and -7), which are responsible for the proteolytic cleavage of many key proteins in apoptosis. The tumor suppressor putative HLA-DR-associated proteins (PHAPs) were recently identified as important regulators of mitochondrion apoptosis (1). PHAP appears to facilitate apoptosome-medicated caspase-9 activation and to stimulate the mitochondrial apoptotic pathway. PHAP was also shown to oppose both Ras- and Myc-medicated cell transformation.

Additional Names : PHAP (CT), PHAP

Description
Left: Western blot analysis of PHAP expression in human Raji cell llysate with PHAP antibody at 1 µg/ml. The two bands

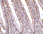
Below: PHAP I might be differently spliced isoforms of PHAP. Below: Immunohistochemistry of PHAP in human small intestine tissue with PHAP antibody at 10 µg/ml.

Other Product Images
Source : PHAP antibody was raised with a synthetic peptide corresponding to amino acids at carboxy terminus of human PHAP I.

Purification : Affinity chromatography purified via peptide column

Clonality and Clone : This is a polyclonal antibody.

Host : PHAP antibody was raised in rabbit. Please use anti-rabbit secondary antibodies.

Immunogen : Human PHAP (C-Terminus) Peptide (Cat. No. 3152P)

Application : PHAP antibody can be used for detection of PHAP I and PHAP III by Western blot at 0.5 to 2 µg/ml.At approximately 35 kDa and 32 kDa a band can be detected.

Tested Application(s) : E, WB, IHC

Buffer : Antibody is supplied in PBS containing 0.02% sodium azide.

Blocking Peptide : Cat. No. 3152P - PHAP Peptide

Long-Term Storage : PHAP antibody can be stored at 4ºC, stable for one year. As with all antibodies care should be taken to avoid repeated freeze thaw cycles. Antibodies should not be exposed to prolonged high temperatures.

Positive Control
1. Cat. No. 1207 - Raji Cell Lysate
2. Cat. No. 1308 - Human Small Intestine Tissue Lysate

Species Reactivity :H, M, R

GI Number : 730318

Accession Number : P39687

Short Description : (CT) Regulator of mitochondrion apoptosis

References
1. Jiang X, Kim HE, Shu H, Zhao Y, Zhang H, Kofron J, Donnelly J, Burns D, Ng SC , Rosenberg S, Wang X. Distinctive roles of PHAP proteins and prothymosin-alpha in a death regulatory pathway. Science. 2003;299(5604):223-6.
2. Nicholson DW, Thornberry NA. Apoptosis. Life and death decisions. Science. 2003 10;299(5604):214-5.


No comments: